loader

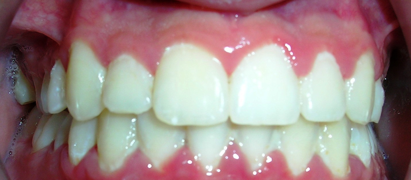
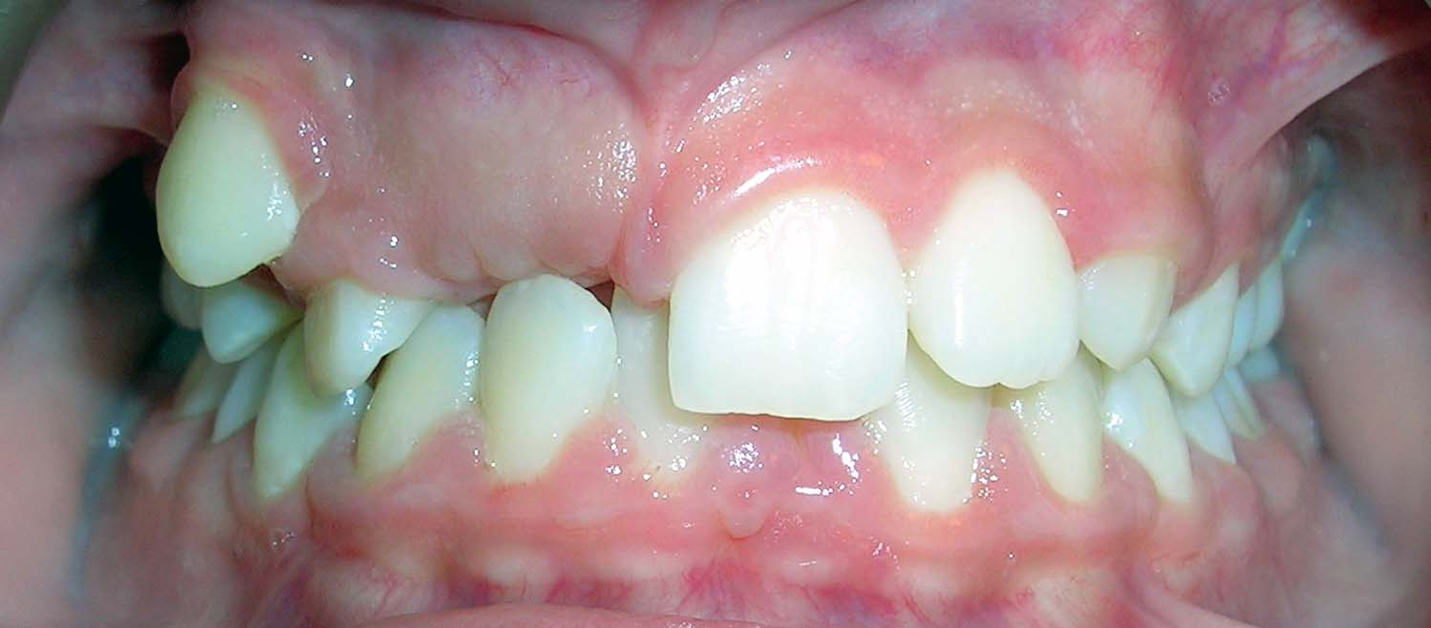
ΕΚΤΟΠΟΙ ΚΥΝΟΔΟΝΤΕΣ ΕΝΤΟΝΟΣ ΣΥΝΩΣΤΙΣΜΟΣ

ΘΕΡΑΠΕΙΑ ΧΩΡΙΣ ΕΞΑΓΩΓΕΣ ΔΟΝΤΙΩΝ
Σε αυτό το περιστατικό η ασθενής είχε επίπεδα ζυγωματικά και ελλιπή εμφάνιση του άνω χείλους. Ο άνω αριστερός κυνόδοντας είναι έκτοπος και έχει έντονο συνωστισμό των κάτω δοντιών. Επίσης στο χαμόγελό της εμφάνιζε περισσότερο τα κάτω δόντια , χαρακτηριστικό των ηλικιωμένων ατόμων. Η φυσιοπλαστική προσώπου εστιάζει και στην προ-γήρανση του προσώπου. Από την παιδική ακόμα ηλικία πρέπει να διορθώσουμε ορισμένα προβλήματα όπως είναι η εμφάνιση των κάτω δοντιών στο χαμόγελο ή κατά την ομιλία. Μετά την θεραπεία (χωρίς εξαγωγές δοντιών) αυξήθηκε το εύρος των οδοντικών φραγμών πετυχαίνοντας πλατύ χαμόγελο και αρμονικό άνω χείλος. Τώρα η έφηβος πια ασθενής δεν δείχνει τα κάτω δόντια όταν χαμογελάει ή όταν ομιλεί. Αυτό ονομάζουμε προ-γήρανση ή προληπτική αντι-γήρανση από την παιδική ηλικία και είναι ένα από τα μοναδικά πλεονεκτήματα της ορθοδοντικής θεραπείας και της φυσιοπλαστικής προσώπου.

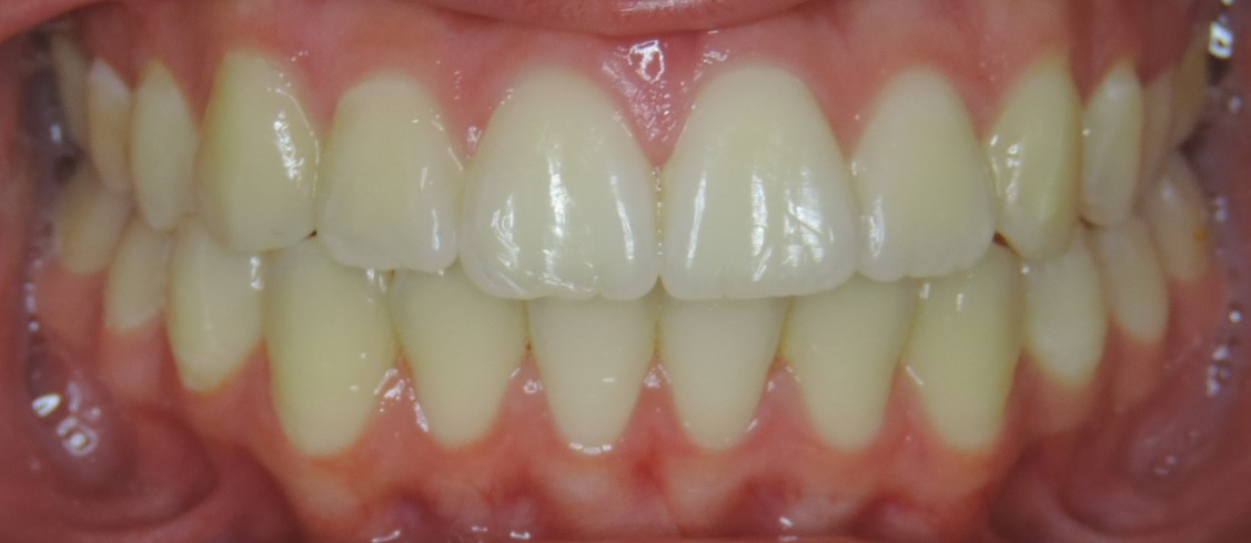
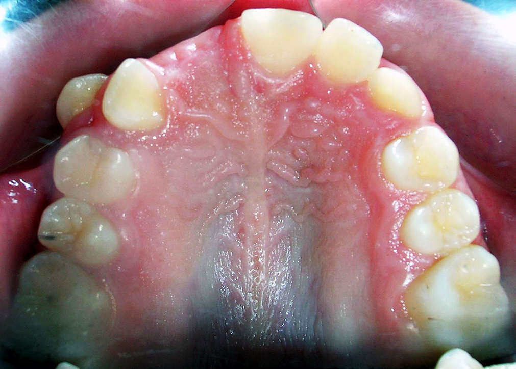
ΕΚΤΟΠΟΙ ΚΥΝΟΔΟΝΤΕΣ ΕΝΤΟΝΟΣ ΣΥΝΩΣΤΙΣΜΟΣ

ΘΕΡΑΠΕΙΑ ΧΩΡΙΣ ΕΞΑΓΩΓΕΣ ΔΟΝΤΙΩΝ
Σε αυτό το περιστατικό η ασθενής είχε έκτοπη ανατολή των άνω κυνοδόντων και έλλειψη χώρου για την ανατολή του κεντρικού τομέα. Μετά την ορθοδοντική θεραπεία βλέπουμε όχι μόνο τη δραματική βελτίωση του χαμόγελου αλλά και την αισθητική ωρίμανση του προσώπου που η ασθενής δείχνει ακόμη και στο μειδίαμά της. Με την φυσιοπλαστική προσώπου η ασθενής δεν δείχνει πια τα κάτω δόντια όταν χαμογελά ή κατά την ομιλία της. Αυτό είναι η προληπτική αντι-γήρανση ή προ-γήρανση που καταρχήν δεν πρέπει να παραλείψουμε από την διάγνωσή μας και να το θεραπεύσουμε εγκαίρως στην παιδική ηλικία.

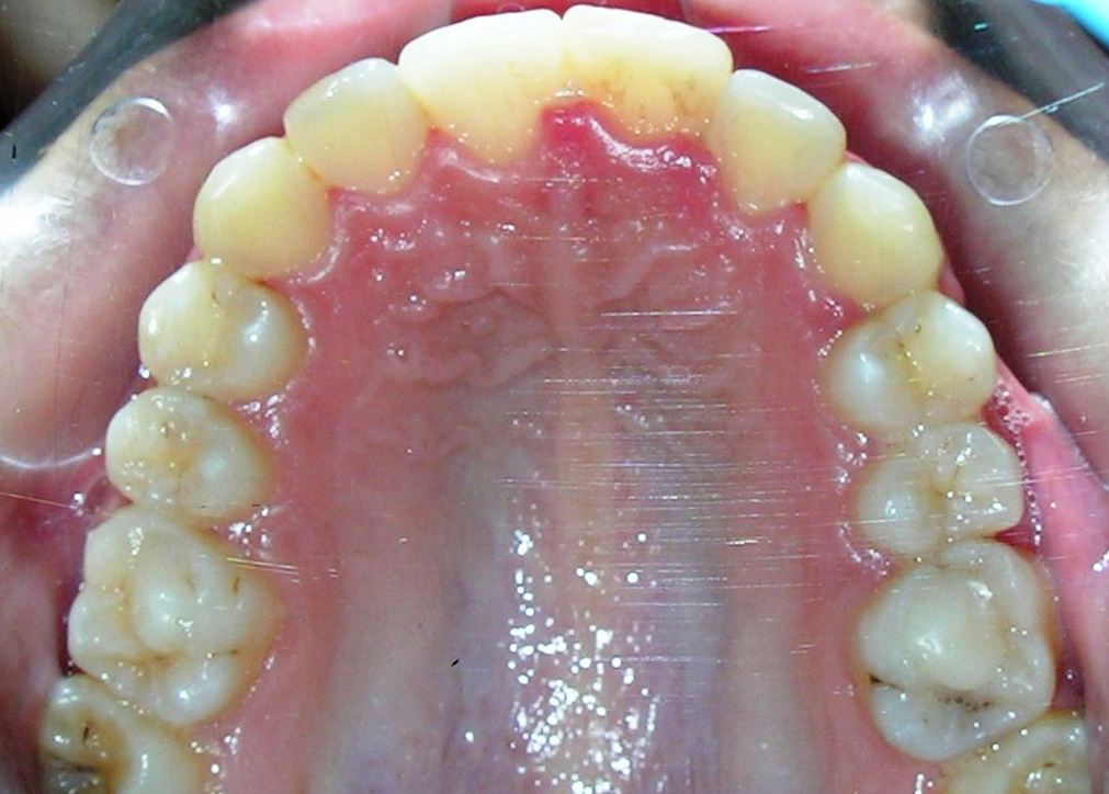
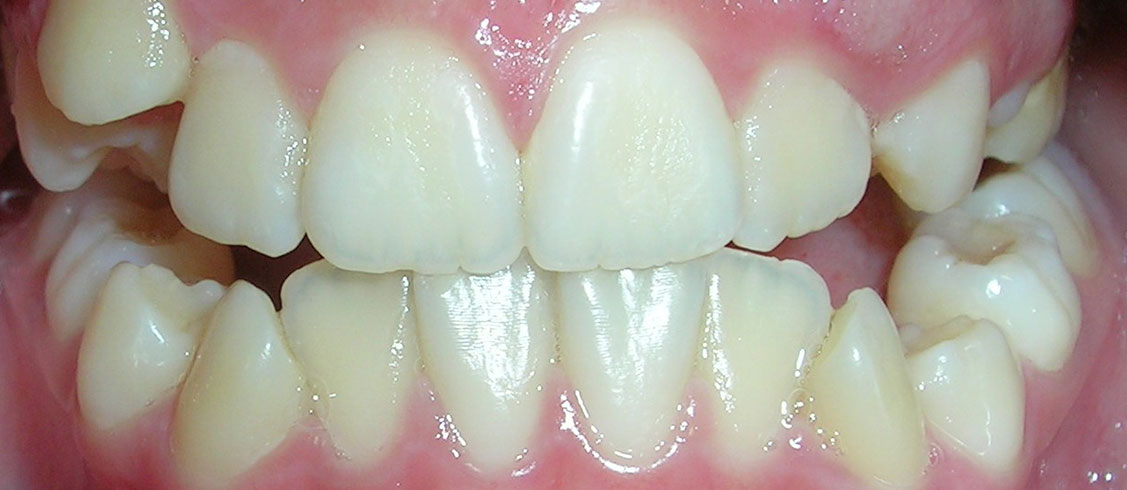
ΕΝΤΟΝΟΣ ΣΥΝΩΣΤΙΣΜΟΣ

ΘΕΡΑΠΕΙΑ ΧΩΡΙΣ ΕΞΑΓΩΓΕΣ ΔΟΝΤΙΩΝ
Εδώ βλέπουμε την βελτίωση του χαμόγελου της ασθενούς μετά από 20 μήνες ορθοδοντικής θεραπείας. Το χαμόγελο έγινε πιο πλατύ μετά από διεύρυνση του άνω φραγμού (Α)(Β).